น้องแมวหายใจลำบาก อาจจะเกิดจาก ภาวะโพรงเยื่อหุ้มปอดมีอากาศ (pneumothorax)
0 Vote 28195 Views

น้องกีตาร์ แมว อายุ 4 ปี เพศผู้ ยังไม่ได้ทำหมัน เลี้ยงปล่อย เจ้าของกลับบ้านมาแล้วพบว่าหายใจลำบาก นอนไม่ค่อยได้ ผุดลุกผุดนั่ง จึงรีบนำน้องกีตาร์มาที่โรงพยาบาลสัตว์รัตนาธิเบศร์ สาขาสุราษฎร์ธานี

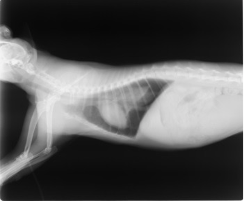
หลังจากการตรวจร่างกายพบว่ามีภาวะหายใจลำบาก ใช้ช่องท้องช่วยหายใจ หายใจถี่ นั่งยืดคอ นอนไม่ได้ หัวใจเต้นเร็ว ปีกจมูกขยับ ไม่อ้าปากหายใจ เบื้องต้นจึงได้ปรับสภาพด้วยการให้ออกซิเจน หลังจากนั้นจึงได้นำน้องกีตาร์ไปเอกซเรย์พบภาวะโพรงเยื่อหุ้มปอดมีอากาศ (pneumothorax) ไม่พบการแตกหักของกระดูกซี่โครง หรือตำแหน่งอื่นๆ ไม่พบแผลอื่นๆภายนอกร่างกาย

สาเหตุการเกิด

ภาวะโพรงเยื่อหุ้มปอดมีอากาศ (pneumothorax) คือการทีมีอากาศมาสะสมอยู่ระหว่างช่องว่างของเยื่อหุ้มปอด เกิดได้จากหลายสาเหตุ
1. ได้รับการกระทบกระเทือน (trauma)ที่ช่องอก มีโอกาสเกิดขึ้นได้ 50% บางครั้งอาจเกิดจากอุบัติเหตุ เช่น รถชน ตกจากที่สูง โดนเตะ , มีบาดแผล , โดนยิง ,เนื้อปอดแตกเอง
เกิดขึ้นเอง

2. เกิดขึ้นจากมีภาวะปอดอักเสบ มีฝีในปอด มีเนื้องอกในปอด

อาการที่พบ

• หายใจลำบาก หายใจเร็ว
• ในบางรายที่อาการแย่ อาจพบว่ามีเยื่อเมือกเป็นสีม่วงจากการขาดอากาศ
• นอนตะแคง

ภาพถ่าย x-ray

สำหรับการรักษาในรายของน้องกีตาร์

หลังจากที่ให้ ออกซิเจน ยาลดปวด ยาลดอักเสบ แล้ว ยังคงพบว่า แมวไม่สามารถนอนได้ มีอาการผุดลก ผุดนั่ง นั่งหลับ ไม่สามารถนอนได้เลย จึงทำการเจาะช่องอก เพื่อระบายอากาศที่อยู่ตามช่องว่าของปอด หลังจากที่ทำการเจาะช่องอก แมวเริ่มหายใจดีขึ้น และนอนหลับได้ ยังคงมีอากรให้ออกซิเจนอย่างต่อเนื่อง

ในวันรุ่งขึ้นหลังจากการเจาะช่องอกยังพบว่ามีอาการหายใจลำบาก คล้ายกับวันแรกที่มาโรงพยาบาลสัตว์ จึงได้เอกซเรย์ซ้ำ ยังพบภาวะโพรงเยื่อหุ้มปอดมีอากาศ (pneumothorax) จึงได้ทำการเจาะช่องอกซ้ำ รอดูอาการ หากยังพบอาการภาวะโพรงเยื่อหุ้มปอดมีอากาศอีกในวันรุ่งขึ้น ต้องผ่าตัดเพื่อวางท่อเพื่อระบายอากาศ (chest drain tube)

หลังจากวางท่อเพื่อระบายอากาศ (chest drain tube) ต้องติดตามอาการ และดูดอากาศเพื่อระบายอากาศจากช่องว่างของปอดจนกว่าจะไม่มีอากาศออกมาจึงจะสามารถถอดท่อได้

ที่มา Rhea V. Morgan(1997).Small animall practice . fourth edition.Suanders. 197-199.

ผู้เรียบเรียง สพ.ญ.จุฑารัตน์ บารมี (หมอน้อยหน่า)